Drug Delivery System

A single dose of medication given via our systems has the same potency and efficacy as multiple daily doses of the same drug given over one week.

WELCOME TO VGSK TECHNOLOGIES, INC.

VGSK Technologies, Inc., the parent company of ProLung, has created a method for controlled release system for the lungs which can deliver medications into the bloodstream.

VGSK achieved this breakthrough and obtained

FDA IND clearance for ProLung™ -budesonide

  • VGSK is excited to announce that we crossed a major milestone
  • We obtained FDA clearance to initiate clinical trials for our drug ProLung-budesonide
  • It is a First in sustained delivery to the lungs for inhaled steroids for respiratory disorders
  • We extend our sincere gratitude to all those who helped us achieve this milestone
  • We are looking forward to working with strategic partners for drug development and to develop other drug entities in our portfolio

Our Mission
Improve medicine through innovative drug delivery

ProLungTM budesonide

 one dose, once a week

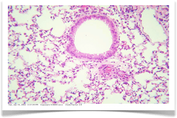
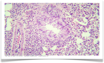
Untreated Lung Inflammation

ABOUT US

Dr. Kameswari (Kamu) Konduri, the founder and President of VGSK Technologies, Inc., started to work on her father’s dream of creating a simple administration system for medications that improves compliance and efficacy.

POTENTIAL

With the tremendous competition in the multi-billion dollar pharmaceutical industry, technology such as the ProLung™ System could become an important differentiator.

TECHNOLOGY

The ProLung™ System was developed to incorporate medications into biochemical structures and introduce them into the body using the lung’s circulatory tissues.

Inhalational

Medications administered through inhalation are dispersed via an aerosol spray, mist, or powder that patients inhale into their airways.

Intravenous

Giving medicines or fluids through a needle or tube inserted into a vein.

Intranasal

Administered by way of the nasal passages which are rapidly absorbed into the bloodstream and cerebrospinal fluid.

Sublingual

Administration by which substances diffuse into the blood through tissues under the tongue.

Subcutaneous

A subcutaneous injection is a method of administering medication, under the skin, with a short needle.

Oral

A route of administration where a substance is taken through the mouth.

Are you ready for a consultation?


Your treatment will be performed by licensed therapist. Schedule your appointment now!

VGSK Technologies, Inc., the parent company of ProLung, has created a method for controlled release system for the lungs which can deliver medications into the bloodstream.

ProLung™ is a novel inhalational drug delivery system developed for administration of medications via unique formulations into the lungs. The system has been shown to be effective in laboratory models, achieving significant benefit over conventional drug dosing.

A single dose of medication given via our system has the same potency and efficacy as multiple daily doses of the same drug given over one week. VGSK Technologies is in the process of advancing its current laboratory research using this system.

As it is a platform technology, this delivery system is capable of being adapted to incorporate a wide variety of medications into the system. Since the native drug is not altered in the process of such incorporation into the system, no potentially harmful new byproducts of the medication are formed. This leads to a rapid evaluation of incorporation of several drugs through laboratory testing, leading to earlier clinical use.

ProLung™ is the first such system utilizes the lung’s tissues for absorption of the drug delivery system to treat lung disorders such as asthma. Other categories of medications, such as cardiac, infections, cancer and inflammatory disease can be adapted by modifications to the proprietary carrier model.